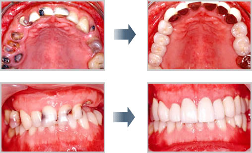
症例3 完全に全歯が破壊した症例
主訴:全くかめない、人前で笑えない(職業 会社員/男性)

全ての歯が虫歯で全く噛めない。
インプラントを入れ完全にかみ合わせを回復。右上、左上に5本のインプラントを入れる。かみ合わせの回復も行い、日常生活をおくれるようにする。

主訴:全くかめない、人前で笑えない(職業 会社員/男性)

五十嵐歯科医院
院長 五十嵐 一

午前9:30~13:00
午後15:00~19:00
休診日:土曜・日曜・祭日
京都府京都市西京区下津林南
大般若町46
高槻、茨木、亀岡、滋賀方面からいらっしゃってます