Warning: count(): Parameter must be an array or an object that implements Countable in /home/users/2/dentalpro/web/implantkyoto.com/wp-includes/post-template.php on line 284

症例12 歯周病の症例 京都でインプラント治療を行うなら五十嵐歯科医院へ

痛みの少ない、即日歯が入る治療

骨が十分でない方の治療

五十嵐歯科医院 医院情報へ

症例集

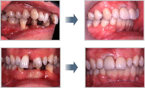
症例12 歯周病の症例

主訴:歯周病で、歯が動揺、インプラントで、審美性、咀嚼能力の回復。

           手術前
           手術後

ページの先頭へ