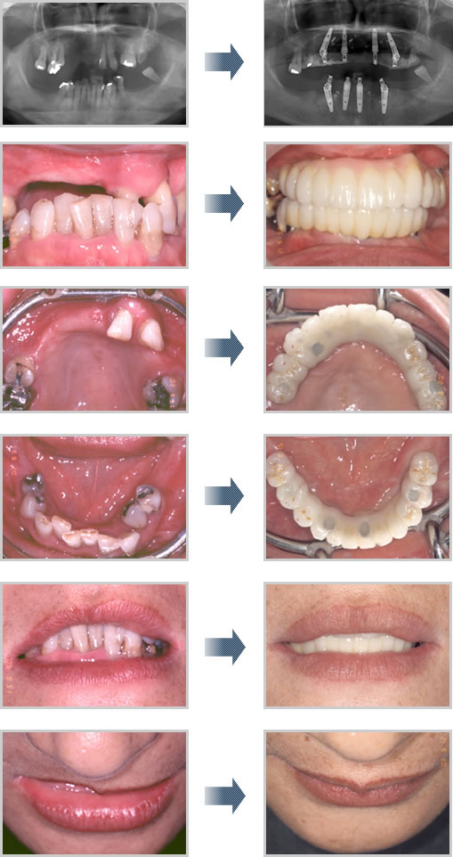
症例18 ALL-ON-4(オールオン4)の症例2
主訴:義歯で噛めない。抗うつ剤を服用中 。(52才/女性)

手術前
手術後

主訴:義歯で噛めない。抗うつ剤を服用中 。(52才/女性)

五十嵐歯科医院
院長 五十嵐 一

午前9:30~13:00
午後15:00~19:00
休診日:土曜・日曜・祭日
京都府京都市西京区下津林南
大般若町46
高槻、茨木、亀岡、滋賀方面からいらっしゃってます