症例20 ALL-ON-4(オールオン4)の症例4
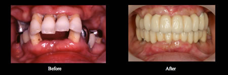
主訴:全く噛めない、15年間、歯科医院に行っていない。(57才/女性)

以前はこのタイプの治療が中心でした。歯周病におかされた60歳代男性の口腔内の状況です。この患者に抜歯を行い、チタンプレートを装着し自家骨移植を行い大きな治療、また可能な限り多くのImplantを埋入する治療の方法がとられました。骨の高さ、幅、審美性は確かに回復されたかもしれませんが、長期治療期間18ヶ月を要しました。何本のインプラントを使用したのでしょうか?16本のインプラントを使用しました。

この患者は60代女性です。主訴は歯の動揺、出血で来院しています。すべての歯牙は抜歯適応であり、しかし前の症例に比べ、口腔内の清掃状況を術前にしっかり行うことで手術にのぞむことができ、抜歯が行われ、8本のインプラントが埋入されました。いわゆる、ALL ON 4という、4本のインプラントでの治療を行いました。手術直後から仮歯を装着し治癒期間を8ヶ月で終了することができました。そして審美性の回復をすることができました。

手術後、この患者の顔貌は劇的に変わりました。彼女は15回の私のクリニックに来ただけで、最終補綴物がセットされました。

その時の側面顔貌図の変化です。側面写真より仮歯をセットされた直後から口輪筋の活性化がおこり、下口唇辺縁の陥没がなくなりしっかりした口元になったことがおわかりでしょう。






