症例21 ALL-ON-4(オールオン4)の症例
主訴:下顎歯周病、上顎無歯顎(40代/女性)

別のケースを見てみましょう。この患者のスタディモデルから歯肉形態および歯間形態を把握し仮歯装着が行われた時に上顎前歯部が上唇から2mmないし3mm歯が見えることが重要です。前歯唇面は上口唇では、仮仮歯装着の段階で2-3mmの前歯部唇面の露出が必要である。

印象後、即日暫間補綴物がレジンそして補強物により製作され約150分後に口腔内に装着されます。暫間補綴物製作過程を示します。この仮歯が術直後から装着されるためもし短期間3週間あるいは4週間後に破折などの問題が生じることはインプラント体に大きなダメージを与えることがあります。このため補強線などが必要となります。技工士などの援助がすぐにない場合は、術前にある程度の技工物を製作しそれをインプラントの上部構造物にあわせて製作することも必要ですが、口腔内でレジンより装着するため破折しやすくなる場合が多くなります。現在までに即時荷重インプラントを行う場合の注意点は埋入直後にインプラントに微少動揺が発生し線維性治癒がおこり骨結合は達成されないことを考える必要があり、これを避けるために連結固定が不可欠であると考えられています。

これらの上部構造物はコンピュータ統計、製作のCAD/CAMシステムによって正確に作ることができます。このシステムにより、カンチレバーのケースにも、正確な上部構造を製作することができ、予後の安定性も飛躍的に高まります。

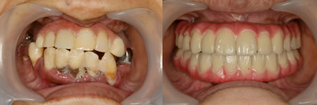
完成図

パノラマの最終補綴物セット後

側面顔貌の変化、口唇、オトガイ部がしっかりした形になりました。






